Selama 17 Tahun, Seorang Perempuan Hidup dengan 'Kembaran' di Tubuhnya

Dokter di India menemukan sebuah kasus langka dan aneh. Ada seorang perempuan yang perutnya ditumpangi oleh 'saudara kembarnya' selama 17 tahun. Anehnya, kembarannya ini masih berkembang dan memiliki rambut, gigi, hingga tulang belakang.
Kasus ini dilaporkan di jurnal BMJ Case Reports yang terbit pada 12 Agustus 2019. Di makalah itu, para dokter menyebutkan kondisi ini disebut Foetus in foetu. Itu adalah kondisi di mana satu janin diserap janin lainnya di awal masa kehamilan.
Kondisi ini terbilang langka. Kejadiannya hanya terjadi dalam satu di antara 500.000 kelahiran bayi. Selain itu, kurang dari 200 kasus serupa yang pernah dilaporkan dalam literatur medis.
Janin yang diserap itu tidak berkembang untuk memiliki sistem saraf dan otak sendiri, tapi janin itu tetap bisa hidup. Dia jadi mirip parasit dan bertahan hidup dengan menyerap nutrisi dari kembarannya.
Dokter punya teori lain atas kondisi ini. Ada dugaan bahwa janin yang diserap itu adalah suatu tumor kompleks yang disebut teratoma. Tumor tersebut bisa memiliki jaringan berbeda, seperti rambut dan gigi.
Biasanya, kondisi ini berakhir dengan keguguran akibat tidak ada nutrisi yang cukup bagi janin yang menyerap saudaranya itu. Dan meski janin bisa lahir, biasanya kondisi ini akan langsung terdeteksi.
Menurut laporan di jurnal, sebelum kasus perempuan ini terungkap, tercatat hanya ada tujuh kasus serupa. Dan semuanya terjadi pada pria.
Keberadaan benjolan keras di perut si perempuan ini baru diketahui ketika dia berusia 12 tahun. Tapi, baru lima tahun setelahnya si perempuan mengunjungi dokter untuk memeriksa benjolan di perutnya.
Selama lima tahun itu juga benjolan semakin membesar dan membuat si perempuan merasa sakit. Perempuan yang namanya dirahasiakan itu mengeluh kepada dokter tidak bisa makan banyak meski belum merasa kenyang. Itu diduga akibat benjolan menekan organ dalam si perempuan.
Dalam pemeriksaan awal, para dokter menduga benjolan itu sebagai tumor. Suatu dugaan yang mungkin tidak salah.
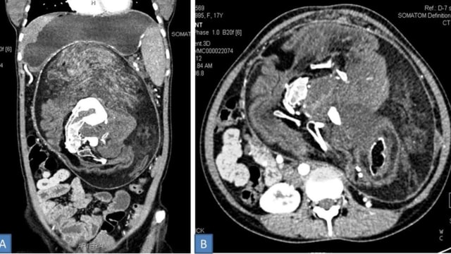
Tapi, pemeriksaan CAT scan menunjukkan adanya deposit kalsium di benjolan yang memiliki bentuk tulang belakang, rusuk, dan tulang panjang. Dokter lalu memutuskan untuk mengangkat "tumor" itu.
Menurut laporan, tumor itu memiliki rambut, tulang dewasa, dan bagian tubuh lainnya, seperti gigi serta struktur yang mirip anggota badan. Ukurannya terbilang besar, yaitu 36×16×10 sentimeter.
Setelah benjolan itu diangkat, kondisi si perempuan langsung pulih. Sekarang, dua tahun setelah benjolan diangkat, perempuan itu mengaku dalam kondisi yang baik.
"Saya merasa sangat baik dan perut saya sekarang rata. Kedua orang tua saya juga sangat bahagia," ujarnya dalam laporan jurnal, seperti dikutip Gizmodo.
Meski begitu, para dokter menjelaskan bahwa mereka tidak bisa mengangkat semua sisa-sisa dari "saudara kembar" si perempuan. Jadi, ada kemungkinan sisa-sisa yang berupa sel itu memiliki sifat mirip kanker dan berkembang tanpa kontrol. Mengatasi hal ini, setiap tahun para dokter terus mengawasi kondisi si perempuan.
