Radang Gusi, Masalah Kesehatan Mulut yang Amat Menyiksa
3 Desember 2017 7:58 WIB
Diperbarui 14 Maret 2019 21:13 WIB

Radang Gusi, Masalah Kesehatan Mulut yang Amat Menyiksa
kumparanSTYLE

ADVERTISEMENT
Sakit hati lebih baik dibanding sakit gigi.
Apakah kamu setuju dengan ungkapan di atas? Kalimat tersebut seringkali terlontar dari orang yang sedang bermasalah dengan gigi ataupun gusinya.
ADVERTISEMENT
Selama hidup, setiap orang pasti pernah mengalami yang namanya sakit gigi. Entah karena gigi berlubang, infeksi, hingga radang gusi yang amat menyakitkan.
Dan masalah mulut jelas bukanlah hal yang bisa dianggap remeh. Bermasalah sedikit saja, seluruh aktivitas bisa terganggu.
Makan tak enak, tidur tak nyenyak, suasana hati pun memburuk. Akibat uring-uringan menahan nyeri, produktivitas pun terganggu.
Tak sedikit orang yang terpaksa absen bekerja akibat tak kuat menahan sakit dan sulit berkonsentrasi. Jika gigi yang bermasalah, seluruh anggota tubuh lainnya seolah ikut merasakan dampaknya.
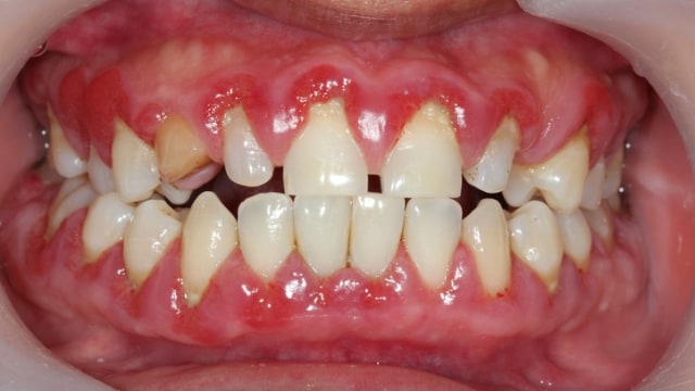
Radang gusi (gingivitis) contohnya. Jika mengalami radang gusi yang cukup parah, rasa sakitnya bisa menjalar ke kepala. Kamu bisa terkena migrain atau sakit kepala berkepanjangan.

Radang gusi biasanya ditandai oleh rasa nyeri pada gusi. Saking nyerinya, kamu bahkan harus mengKonsumsi obat penahan nyeri yang mengandung asam mefenamat.
ADVERTISEMENT
Asam mefenamat sendiri merupakan analgesik yang membantu meredakan rasa nyeri dan peradangan. Salah satu yang paling populer adalah Ponstan.
Area gusi yang terkena radang biasanya nampak memerah dan bengkak. Pada beberapa kasus parah, gusi bahkan mengeluarkan darah atau nanah akibat infeksi. Jika sudah begini, tak ada jalan lain selain menemui dokter untuk mendapatkan penanganan lebih lanjut.
Lantas, apa yang jadi penyebab terjadinya peradangan pada gusi?
Biasanya, radang gusi disebabkan oleh penumpukan plak yang tak dibersihkan dengan baik. Lama-kelamaan, plak yang terbentuk dari bakteri menumpuk makin tebal menjadi karang gigi. Dan karang gigi hanya bisa dibersihkan oleh dokter gigi.
Selain kebersihan mulut yang kurang terjaga, rokok (tembakau) juga bisa jadi dalang penyebab radang gusi. Tembakau memiliki efek buruk yang menghambat gusi beregenerasi.

Jika kamu merupakan pengguna gigi palsu atau crown gigi, ukuran yang tidak pas juga memberi pengaruh buruk, lho. Jika radang gusi terjadi di area crown (mahkota gigi buatan) atau gigi palsu, dokter gigi biasa menganjurkan kamu untuk melakukan rontgen atau x-ray.
ADVERTISEMENT
Untuk memantau kondisi gigi hingga ke akar-akarnya, kamu disarankan melakukan Panoramic Radiography atau Panoramic X-Ray. Harga rontgen ini berkisar Rp 150 - Rp 300 ribuan. Semua tergantung lokasi rontgen.
Inilah sebabnya kamu wajib melakukan kontrol ke dokter gigi minimal enam bulan sekali. Ini berguna untuk mengawasi setiap perubahan yang terjadi pada gigi.
Perubahan hormon (hamil atau pubertas), efek samping obat, kurang nutrisi, hingga infeksi jamur tertentu juga bisa jadi penyebab radang. Dan biasanya, orang dengan usia lanjut lebih rentan terkena radang gusi.
Jika tak ingin terkena radang gusi yang menyiksa, sebaiknya perhatikan aneka faktor penyebab yang kumparan (kumparan.com) sebutkan di atas ya!
