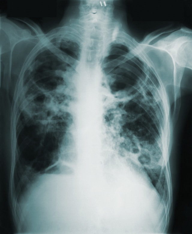
Indonesia Nomor Dua Dunia TBC, tapi Separuh Pasiennya Belum Ditemukan

Clinical Research Associate & Renal Care Educator. Menulis di media tentang kesehatan, teknologi, komunikasi, bisnis kesehatan, dan kisah perjalanan. Menjembatani sains, cerita, dan pengalaman lintas benua.
·waktu baca 5 menit
Tulisan dari Alan Munandar tidak mewakili pandangan dari redaksi kumparan

Ada angka yang jarang muncul di halaman depan koran. Angka itu adalah 125.000, jumlah orang Indonesia yang meninggal karena tuberkulosis setiap tahun. Lebih dari 340 orang per hari. Nyaris satu orang setiap empat menit (Kementerian Kesehatan RI, 2025).
TBC bukan penyakit masa lalu. Indonesia, dengan ekonomi terbesar di Asia Tenggara dan program jaminan kesehatan nasional yang menjangkau ratusan juta orang, masih menempati peringkat kedua dunia dalam jumlah kasus TBC terbanyak, hanya di bawah India. Tiongkok yang bertahun-tahun berada di posisi dua kini sudah turun ke peringkat empat. Kita tidak ikut turun (World Health Organization [WHO], 2025).
WHO memperkirakan angka kejadian TBC di Indonesia sebesar 387 per 100.000 penduduk pada 2023, atau sekitar 1,09 juta kasus per tahun, naik dari 325 per 100.000 pada 2015. Angka kematian akibat TBC juga meningkat, dari sekitar 104.000 pada 2015 menjadi 130.927 pada 2023 (WHO, 2026). Ini bukan kemajuan. Ini kemunduran yang berlangsung satu dekade, dan kita terus berbicara tentang target eliminasi 2030.
Pasien yang Tidak Ditemukan
Dari estimasi satu juta kasus per tahun, Kementerian Kesehatan mencatat hingga 25 Agustus 2025 baru menemukan 508.994 kasus, atau 47 persen dari target deteksi nasional sebesar 900 ribu kasus. Dari seluruh provinsi di Indonesia, hanya Banten yang berhasil mencapai target notifikasi kasus (Kementerian Kesehatan RI, 2025).
Artinya, lebih dari separuh pasien TBC di Indonesia tidak terdiagnosis, tidak dalam pengobatan, dan terus berpotensi menularkan kepada orang-orang di sekitar mereka. Bukan karena mereka tidak mau berobat, melainkan karena sistem belum menemukan mereka.
WHO menempatkan Indonesia sebagai negara dengan kesenjangan deteksi tertinggi di dunia secara persentase, yakni 10 persen antara estimasi kasus dan kasus yang benar-benar dilaporkan. Dalam angka absolut, Indonesia juga menempati posisi pertama dalam jumlah kasus yang tidak ternotifikasi secara global (WHO, 2025).
TBC Bukan Sekadar Soal Paru-Paru
TBC tumbuh subur dalam kondisi perumahan padat, ventilasi buruk, dan gizi kurang. Namun faktor-faktor itu tidak hilang begitu saja seiring pertumbuhan ekonomi. Di Jakarta, kepadatan hunian di sejumlah kawasan masih membuat transmisi TBC sangat mudah terjadi. Di luar Jawa, keterbatasan fasilitas diagnostik membuat pasien tidak terdeteksi selama berbulan-bulan.
Ada dimensi lain yang sering luput: TBC resisten obat atau MDR-TB. Indonesia adalah salah satu dari lima negara penyumbang 60 persen kesenjangan antara estimasi kasus MDR-TB dengan kasus yang benar-benar masuk pengobatan (WHO, 2025). MDR-TB lebih sulit diobati, membutuhkan obat lebih mahal, dan masa pengobatan lebih lama. Pasien TBC biasa yang putus obat berpotensi berkembang menjadi MDR-TB, dan pasien MDR-TB yang tidak terdeteksi menjadi sumber penularan yang jauh lebih berbahaya.
Dari kasus yang sudah ditemukan, 90 persen pasien TBC sensitif obat telah memulai pengobatan. Namun tidak ada satu pun provinsi yang mencapai target keberhasilan terapi 90 persen untuk TBC sensitif obat, dan hanya Kalimantan Utara yang mencapai target 80 persen untuk TBC resisten obat (Kementerian Kesehatan RI, 2025).
Program Ada, Pelaksanaan Tidak Merata
Pemerintah tidak diam. Peraturan Presiden Nomor 67 Tahun 2021 menetapkan komitmen negara untuk mengeliminasi TBC pada 2030 melalui pendekatan lintas sektor, dari perumahan dan pangan hingga layanan primer dan komunitas (Presiden Republik Indonesia, 2021). Program komunitas TBC sudah menjangkau 160 kabupaten dan kota. Cakupan terapi pencegahan TBC untuk kontak rumah tangga sudah melampaui 81 persen.
Namun ada jurang antara kebijakan dan kenyataan di lapangan. Dari 38 provinsi, hanya satu yang mencapai target notifikasi kasus. Tinjauan Program TB Nasional yang dilakukan WHO bersama Kementerian Kesehatan pada Agustus 2025 mengidentifikasi hambatan programatik yang telah berlangsung lama, termasuk kapasitas implementasi yang tidak merata antara pusat dan daerah, serta pendanaan yang jauh dari cukup (WHO, 2026).
Tindak lanjut tinjauan tersebut menekankan perlunya pembaruan Perpres TBC dengan empat fokus: penguatan dasar hukum dan pembiayaan, perluasan deteksi dan diagnosis, peningkatan keberhasilan pengobatan, serta penguatan dukungan komunitas dan sosial (WHO, 2026).
Obat Gratis Tidak Cukup
Pasien TBC bukan hanya butuh obat. Mereka butuh makan cukup agar obat bekerja. Mereka butuh ongkos untuk datang ke puskesmas enam bulan berturut-turut. Mereka butuh atasan di tempat kerja yang tidak memecatnya begitu tahu ia sakit.
Hingga Agustus 2025, baru 108.590 kontak serumah penderita TBC atau sekitar 8 persen yang mendapat Terapi Pencegahan TBC, jauh di bawah target nasional 72 persen (Kementerian Kesehatan RI, 2025). Angka ini mencerminkan lebih dari sekadar kekurangan obat preventif: ia mencerminkan sistem yang belum sepenuhnya mampu menjangkau orang-orang yang paling berisiko sebelum mereka jatuh sakit.
Di tingkat global, WHO mencatat pendanaan TB baru mencapai sekitar 25 persen dari target yang ditetapkan untuk 2027. Di Indonesia, realisasi anggaran daerah untuk penanggulangan TBC masih rendah di banyak provinsi, meski sumber pendanaan baik dari hibah maupun APBN tersedia (WHO, 2025; Kementerian Kesehatan RI, 2025).
2030 Masih Mungkin
Target eliminasi TBC 2030 bukan hanya soal angka. Ini soal bagaimana negara memandang penyakit yang terlanjur dianggap biasa karena sudah lama ada.
TBC bukan penyakit yang tidak bisa dikalahkan. Tinjauan Program Nasional 2025 menegaskan bahwa Indonesia berada pada posisi yang kuat untuk menerjemahkan bukti menjadi tindakan, dengan catatan: kemauan politik harus diikuti implementasi yang berani dan berorientasi pada pasien (WHO, 2026).
Yang dibutuhkan sekarang adalah sistem deteksi aktif yang menjangkau desa-desa dan lorong-lorong kota, bukan hanya menunggu pasien datang ke puskesmas. Dukungan sosial yang nyata bagi pasien selama enam bulan pengobatan. Dan anggaran yang sebanding dengan skala masalah yang dihadapi.
Satu juta orang dengan TBC di Indonesia bukan statistik. Mereka adalah tetangga, orangtua, anak-anak, dan rekan kerja kita. Selama separuh dari mereka belum ditemukan, kita belum sungguh-sungguh melawan penyakit ini.
