Konten dari Pengguna
Melihat Foto Rontgen Paru-paru Pasien Positif Corona

Membicarakan apa saja yang sedang ramai.
Tulisan dari Berita Heboh tidak mewakili pandangan dari redaksi kumparan

ADVERTISEMENT
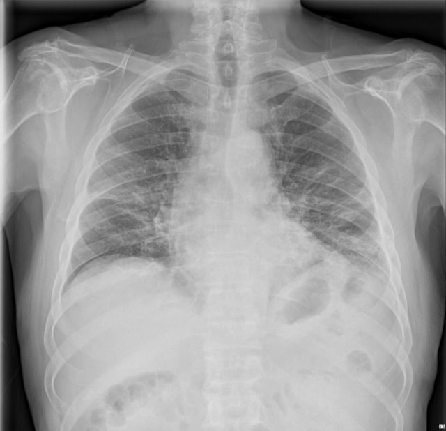
Spanyol menjadi salah satu negara dengan pertumbuhan pasien COVID-19 yang tinggi. Baru-baru ini akun Twitter @ChestImaging mengunggah sejumlah foto hasil rontgen pasien positif corona.
ADVERTISEMENT
Foto-foto tersebut berasal dari hasil pemeriksaan pasien di sebuah rumah sakit di Spanyol. Berikut gambar-gambarnya:
