Tulang Ikan Tertelan Masuk ke Perut Pria Ini, lalu Tusuk Hatinya
·waktu baca 2 menit

Apakah kamu pernah mengalami sakit tenggorokan karena tulang ikan tak sengaja tertelan? Jika pernah, kamu enggak sendirian. Hal serupa juga dialami oleh seorang pria berusia 45 tahun di Arab Saudi yang tak sengaja menelan tulang ikan, tapi bedanya, ini berakibat fatal.
Studi kasus yang terbit di BMJ Case Report menjelaskan, pria yang tidak disebutkan namanya itu pergi ke rumah karena mengalami nyeri ulu hati dan demam selama 10 hari. Dokter lantas melakukan USG pada perut pasien, dan menemukan abses di lobus kanan hatinya.
Mereka mengeluarkan nanah dari abses, dan memberikan pasien obat antibiotik selama 10 hari. Setelah demamnya mereda, pria tersebut pun bisa pulang. Namun, sebulan kemudian, pasien kembali dilarikan ke ruang gawat darurat karena mengalami nyeri perut selama 6 hari berturut-turut dan demam di atas 39 derajat Celsius, menandakan adanya kekambuhan.
Selama kunjungan rumah sakit yang kedua, tes darah menunjukkan pasien memiliki jumlah sel darah putih yang tinggi–sel imun yang melawan infeksi– dan kadar albumin yang lebih rendah dari rata-rata–protein yang diproduksi di hati.
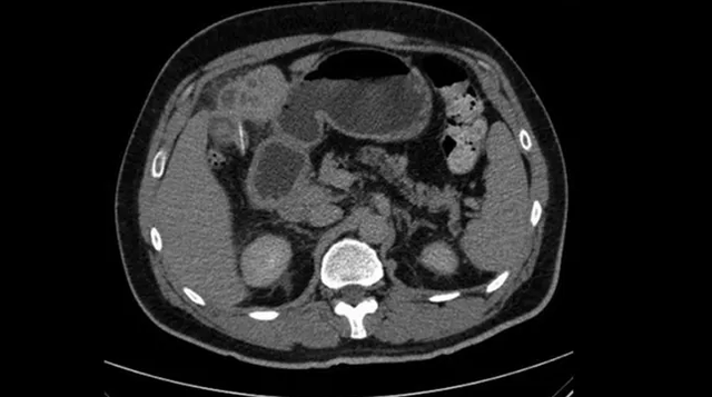
Dokter lantas melakukan rontgen perut, tapi tidak menemukan adanya tanda-tanda yang aneh. Pemindaian computed tomography (CT) pada perut menunjukkan bahwa ginjal, limpa, pankreas, dan kantung empedu tampak normal.
Ketika tim medis memeriksa bagian tengah hati pasien, mereka menemukan dua kelainan. Pertama adalah lesi yang tampak seperti abses, dan yang kedua adalah benda padat seperti ranting di dalam lesi tersebut dengan ukuran panjang sekitar 2,5 centimeter.
Dokter menduga, benda tak dikenal itulah yang telah menyebabkan abses, dan kemungkinan sebagai penyebab abses pertama yang dialami pasien sebelumnya. Dokter akhirnya memberi pasien antibiotik, dan melakukan operasi perut yang disebut laparotomi untuk mengangkat benda asing di hatinya, yang ternyata adalah tulang ikan.
Menurut pengakuan pasien, kemungkinan tulang itu tak sengaja tertelan saat dia makan ikan lima bulan sebelumnya. Namun ia tidak merasakan gejala apa pun saat itu.
Kondisi pasien berangsur membaik pasca-operasi. Selama tiga bulan menjalani pemantauan, si pria sudah tidak lagi mengalami sakit perut.
Dalam kebanyakan kasus, tulang ikan kecil yang tertelan biasanya akan keluar melalui usus tanpa menimbulkan bahaya dalam waktu sekitar satu minggu.
